ماموگرافی روشی برای آزمایش و
بررسی بافت پستان است.
بر اساس تحقیقات، سرطان سینه یکی از شایع ترین سرطان ها در میان بانوان است. به همین دلیل توصیه می
شود در بانوان بالای چهل سال هر سال یک نوبت آزمایش دوره ای ماموگرافی برای تشخیص
تومور در سینه ها انجام شود. تشخیص زودهنگام سرطان سینه با ماموگرافی و انجام
راهکارهای درمانی مؤثر نقش مهمی در بهبودی و از بین بردن تومورهای پستان دارد. در
این مقاله هر آنچه لازم است درمورد ماموگرافی و چگونگی انجام آن بدانید، ارائه
خواهد شد.
ماموگرافی
در واقع استفاده از پرتوهای
خفیف اشعه ایکس به منظور آزمایش بافت سینه است. این آزمایش به منظور
شناسایی و تشخیص بیماری های پستان در زنانی انجام می شود که با ناهنجاری هایی از
قبیل وجود درد پستان
و فرو رفتگی نوک پستان مواجه شده اند. البته این آزمایش به صورت دوره ای به منظور
پیشگیری از ابتلا به سرطان سینه در زنان سالم بالای 40 الی 45 سال نیز انجام می
شود. این آزمایش کمک می کند تومورهای احتمالی سرطانی و یا بیخطر همچنین کیست های بافت پستان پیش
از اینکه قابل لمس و معاینه توسط پزشک یا خود فرد باشد تشخیص داده شوند.
ماموگرافی
وجود سرطان را به طور قطعی تشخیص نمی دهد اما اگر نتایج این تست بیانگر احتمال
وجود سرطان سینه در فرد باشد، بافت مشکوک به منظور نمونه برداری به آزمایشگاه
ارجاع داده می شود. در نمونه برداری (بیوپسی)، بخشی بافت مشکوک به سرطان به وسیله یک سوزن مخصوص به
منظور انجام آزمایشات میکروسکوپی خارج می شود.
ماموگرافی
برای مدت سی سال انجام می شده است ولی از پانزده سال اخیر با توسعه و پیشرفت
تجهیزات تصویربرداری با اشعه ایکس، این آزمایش به طور دقیق تر وجود ناهنجاری های
احتمالی در بافت پستان را تشخیص می دهد.
روش انجام ماموگرافی به این صورت است، دستگاه ماموگرافی از دو صفحه
موازی تشکیل شده است که سینه ها بین این دو صفحه قرار گرفته و صفحه ها با نزدیک
شدن به یکدیگر بافت سینه را فشرده می کنند تا تصویر دقیق تری از کل بافت سینه حاصل
شود. پس از اینکه پستان ها در موقعیت صحیحی نسبت به دستگاه قرار گرفتند، متخصص
تصویربرداری از شما می خواهد نفس خود را حبس کنید و در این حال تصویربرداری اشعه
ایکس انجام می شود. سپس متخصص موقعیت سینه ها را تغییر می دهد تا تصویر از زاویه
دیگری نیز ثبت شود.
ماموگرافی چقدر طول میکشد؟
به طور کلی انجام تصویر برداری
ماموگرافی تنها 10 دقیقه به طول می انجامد. با این حال کل فرایند آزمایش شامل
انتظار و آماده شدن برای آزمایش و خارج شدن از محیط چیزی حدود سی دقیقه طول می
کشد. با این حال زمان انجام این آزمایش به عوامل زیر بستگی دارد:
- مدت زمان نشستن در اتاق انتظار
- مدت زمان پر کردن فرم های پیش از انجام آزمایش
- مدت زمان آماده شدن و خارج کردن لباس برای آزمای
- مدت زمانی که طول می کشد متخصص سینه های بیمار را در موقعیت
درستی برای تصویربرداری قرار دهد.
- حصول اطمینان از عدم نیاز به تصویربرداری مجدد به دلیل
نیفتادن تصویر کل بافته پستان ها.
انجمن سرطان ایالات متحده آمریکا انجام سالیانه آن را پس
از 40 سالگی توصیه می کند.مناسب ترین زمان برای شروع ماموگرافی در سن 35
سالگی است و بعد از 40 سالگی بهتر است سالی یکبار انجام گیرد و 50 سال به بعد نیز
هر 2 سال یکبار.
برای خانم ها از 25 سالگی بهتر است روش های دیگر به غیر
از ماموگرافی صورت گیرد و در صورت مشاهده مورد مشکوک ماموگرافی انجام شود که
معمولا این دسته افراد در نزدیکان خود سابقه سرطان پستان را
نیز داشته اند.
طبق توصیه پزشکان افرادی که سابقه این بیماری در
اطرافیان نزدیک خود داشته اند از 25 سالگی معاینات مداوم و حتی خود آزمایی را
نیز، روز بعد از اتمام سیکل ماهانه انجام دهند.

برای برنامهریزی انجام تست ماموگرافی چرخه طبیعی قاعدگی خود را زیر نظر قرار دهید. هفته پس از پایان دوران قاعدگی از نظر زمانی، بهترین زمان برای انجام ماموگرافی است. هفته قبل از شروع قاعدگی زمان مناسبی برای انجام ماموگرافی نیست زیرا در طول این دوره ، سینه ها به حداکثر حساسیت خود نسبت به درد میرسند.
نتایج
تحقیقات در زنانی که بعد از چهل سالگی هر سال یکبار به طور مداوم آزمایش ماموگرافی
را انجام داده اند نشان می دهد احتمال مرگ بر اثر سرطان سینه در این افراد کاهش
چشمگیری پیدا می کند. آزمایش ماموگرافی هیچ کمکی به پیشگیری از سرطان سینه نمی
کند. با این حال تشخیص به موقع وجود تومورها و ناهنجاری ها در بافت پستان باعث می
شود نشانه های سرطان زودتر تشخیص داده شود و فرد با احتمال کمتری نیاز به انجام
شیمی درمانی برای از بین بردن تومورهای پستان پیدا کند.
علاوه بر این، انجام تست ماموگرافی
به زنان کمک می کند آگاهی بیشتری نسبت به وضعیت سلامتی پستان های خود پیدا کنند.
این امر باعث می شود زنان تا 98 درصد نسبت به عدم ابتلا به سرطان در صورت منفی
بودن نتایج تصویربرداری ماموگرافی اطمینان حاصل کنند.
تجربه میزان درد در ماموگرافی در
افراد مختلف متفاوت است. با این حال بیشتر افراد به دلیل فشار وارد شده روی بافت
پستان ها در حین تصویربرداری مقداری احساس ناراحتی می کنند که این امر کاملاً
طبیعی است. میزان دردی که هر فرد در ماموگرافی تجربه می کند به عواملی مانند
اندازه سینه ها و زمان چرخه قاعدگی بستگی دارد. برای
عدم درد در ماموگرافی به برخی نکات باید توجه نمود. خانم هایی که بافت پستان آنها
فیبروکیستیک می
باشد، احتمال درد در آنها بیشتر می باشد. بهتر است برای کاهش درد بعد از قاعدگی
ماموگرافی صورت گیرد و حتما 48 ساعت قبل از آن از مصرف برخی مواد غذایی مانند
شکلات، قهوه و ادویه های تند پرهیز شود.
انجام ماموگرافی در دوران بارداری منع
خاصی ندارد چون از اشعه خفیف ایکس استفاده می شود. هر چند، به طور کلی انجام
معاینه ماموگرافی دوره ای در زمان بارداری به طور کلی توصیه نمی شود. با این حال
در صورت معاینه و تشخیص توده ناهنجار و یا ناهنجاری ظاهری پستان، ممکن است پزشک
تحت شرایط خاصی انجام ماموگرافی را تجویز کند.
در طول دوران شیردهی، شیر جمع شده
در غدد پستان ، تراکم بافتی را افزایش می دهد که این امر ممکن است شناسایی
ناهنجاری های احتمالی را دچار مشکل کند. عموماً توصیه می شود انجام ماموگرافی پس
از سه ماه از پایان دوران شیردهی انجام شود. هر چند اگر شما در سن بالای چهل سال
هستید، باید با پزشک خود در خصوص انجام ماموگرافی مشورت کنید چون ریسک ابتلا به
سرطان پستان در این سن بالاست.
افرادی بر این باورند که ماموگرافی به دلیل اشعه ایکس
سرطان زا می باشد، این باوری غلط است زیرا دوز اشعه در ماموگرافی بسیار پایین می
باشد که حتی می شود آن را نادیده گرفت.
5% - 15%ماموگرافی ها به انجام نوع تکمیلی آن و یا سونوگرافی سینه نیاز دارد که اغلب
نتایج این بررسی های تکمیلی طبیعی می باشد ، اگر یافته غیرطبیعی دیده شود بررسی
های تکمیلی تر و یا نمونه برداری انجام می شود. البته این نکته قابل توجه می باشد
که سونوگرافی فقط
روش بررسی تکمیلی می باشد و جایگزین ماموگرافی نیست و تنها برای معاینه قبل از
30سالگی سونوگرافی پیشنهاد
می شود.
و به طور کلی منافع این روش بسیار بیشتر از خطر انجام آن
می باشد.
ماموگرافی در حال حاضر بهترین و
دقیق ترین روش تشخیص سرطان سینه است. با این حال این آزمایش محدودیت های خاص خودش
را دارد. به عنوان مثال، تشخیص وجود سرطان در این آزمایش هیچگاه قطعی نیست. دیگر محدودیت های ماموگرافی
شامل موارد زیر میشود:
نتیجه مثبت کاذب زمانی
اتفاق می افتد که آزمایش ماموگرافی به اشتباه وجود توده سرطانی را تأیید می کند.
این اشتباه در زنان جوان و بخصوص در دوران شیردهی و بارداری بیشتر رخ می دهد چون
در سنین پایین تر بافت پستان ها متراکم تر است. حدود نیمی از زنانی که در طول یک
دوره ده ساله به طور منظم آزمایش ماموگرافی را انجام می دهند ممکن است حداقل یک
بار با آزمایش مثبت کاذب مواجه شوند.
این نتیجه وجود توده سرطانی را
به اشتباه تکذیب می کند. معمولاً آزمایشات ماموگرافی ، از هر پنج مورد قطعی سرطان
ممکن است یک مورد را به اشتباه منفی تشخیص دهد.
اغراق احتمالی در نشان دادن نتایج
گاهی ممکن است نتیجه
آزمایش ماموگرافی، وجود یک تومور را به اشتباه خطرناک تشخیص دهد و این امر باعث
شود پزشک داروهایی برای بیمار تجویز کند که واقعاً نیازی نیست. در نتیجه ممکن است
برخی بیماران بی جهت تحت تأثیر عوارض دارودرمانی قرار گیرند در حالیکه مصرف بعضی
از این داروها برای آن ها نیازی نبوده است.
در
افرادی که عمل زیبایی افزایشی سینه یا ماموپلاستی افزایش انجام داده اند، آزمایش
ماموگرافی باید با ملاحظات خاص و زیر نظر یک متخصص حرفه ای انجام شود.
به دلیل
حساس بودن بافت پروتزی و امکان پاره شدن در هنگام ماموگرافی پستان های دارای پروتز، باید قبل از شروع
آن از پاره نبودن پروتز مطمئن شد زیرا که به خاطر فشار در ماموگرافی امکان پخش
سیلیکون و آب نمک پروتز داخل پستان می باشد و در زمان کنار زدن پروتز برای
ماموگرافی ممکن است احساس درد در فرد به وجود بیاید که زود تمام می شود.
بعد از
انجام ماموگرافی، احتمالی تغییر شکل و نرم شدن بافت پروتز وجود دارد. با این حال
هیچ تضمینی در خصوص تغییر شکل پروتز در هر دو پستان پس از انجام ماموگرافی وجود
ندارد.
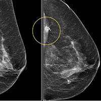
انجام آزمایش
ماموگرافی منجر به تولید تصاویر سیاه و سفید دو بعدی یا سه بعدی از بافت پستان ها
می شود. این تصاویر روی مانیتور رایانه قابل مشاهده هستند. متخصص رادیولوژی بر
اساس نتایج حاصل شده، یک گزارش نهایی از یافته های آزمایش برای پزشک شما تهیه می
کند. رادیولوژیست بر اساس تصاویر بدست آمده نسبت به وجود تومورهای سرطانی یا خوش
خیم اطمینان حاصل می کند و ممکن است برای اطمینان بیشتر ، انجام آزمایشات مجدد
دوره ای را تجویز کند. تفسیرنتایج آزمایش ماموگرافی به طور کلی ممکن است شامل موارد زیر باشد:
- وجود توده های کلیسم در غدد شیری و بافت
های دیگر پستان
- وجود توده ها و بافت های متراکم غیر
نرمال
- وجود عدم تقارن در بخش های مختلف سینه
ها
- وجود ناحیه متراکم تنها در یکی از پستان
ها
- ایجاد یک ناحیه متراکم غیر نرمال در
مقایسه با نتایج قبلی ماموگرافی
در صورتی که
رادیولوژیست وجود این علائم غیر طبیعی را در آزمایشات فرد تشخیص داد ، ممکن است
انجام آزمایشات بعدی با بزرگ نمایی بیشتر و یا انجام سونوگرافی را توصیه کند. در برخی موارد نیز نیاز است از تصویر
برداری ام آر آی برای تشخیص قطعی ناهنجاری در قسمت هایی که از نظر ظاهری دچار
ناهنجاری هستند ولی در آزمایش ماموگرافی چیزی نشان داده نمی شود استفاده شود.
به منظور کاهش بروز خطاهای
احتمالی در انجام آزمایشات ماموگرافی پیشنهاد می شود حتماً از مراکز معتبر با
تکنسین های آموزش دیده و متبحر و مجهز به تکنولوژی های به روز استفاده شود. انجام آزمایشات لازم دوره ای ماموگرافی
در کلینیک رادیولوژی دکتر وهاب آقایی با استفاده از جدیدترین و به روزترین دستگاه ها انجام می شود و
نتایج در کوتاه ترین زمان و با حداکثر دقت به متخصصین مربوطه ارجاع داده می شود. برای کسب اطلاعات بیشتر تماس بگیرید.