خدمات مرکز رادیولوژی و سونوگرافی دکتر وهاب آقایی

ماموگرافی ماموگرافی

  • ماموگرافی روتین
  • بزرگنمایی و Focal Compression
  • ماموگرافی پستان های دارای پروتز

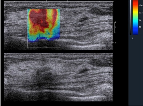
سونوگرافی سونوگرافی

  • سونوگرافی پستان
  • سونوگرافی رحم و تخمدان : ترانس واژینال
  • سونوگرافی حاملگی : NT، آنومالی و غربالگری، بیوفیزیکال، NST
  • سونوگرافی اندام های داخلی:کلیه و مجاری ادراری و مثانه، تیروئید و پاراتیروئید، کبد و کیسه صفرا، پروستات، آدرنال، غدد بزاقی، پانکراس، طحال، آپاندیس
  • سونوگرافی داپلر رنگی از عروق خونی

نمونه برداری نمونه برداری

  • نمونه برداری پستان: CNB ،FNA
  • نمونه برداری تیروئید

الاستوگرافی الاستوگرافی

  • الاستوگرافی پستان


اندازه گیری ضخامت چربی اندازه گیری ضخامت چربی


تخلیه چربی تخلیه ژل صورت